Dental Implants
Beverly Hills premier destination for the art of implant dentistry. Contact us today for a consultation & appointment.

The perfect solution for a stunning smile
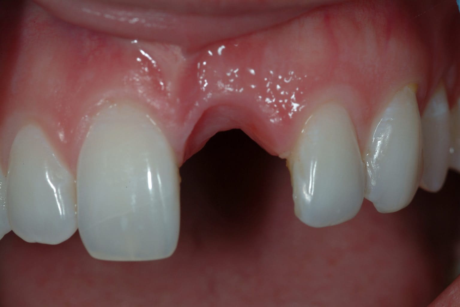
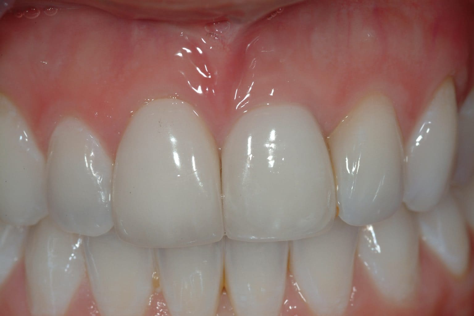
Whether you have broken, damaged, or missing teeth, implants are an excellent solution for tooth replacement. These artificial teeth are anchored in the jawbone, providing a natural feel, and with proper care, they can last up to 35 years!
Dr. Elbaz genuinely cares about your well-being and is committed to offering the highest quality dental implants in the industry.
Your comfort is our top priority, which is why we provide optional sedation dentistry to ensure a stress-free experience during your implant procedure.

The perfect solution for a stunning smile
Whether you have broken, damaged, or missing teeth, implants are an excellent solution for tooth replacement. These artificial teeth are anchored in the jawbone, providing a natural feel, and with proper care, they can last up to 35 years!
Dr. Elbaz genuinely cares about your well-being and is committed to offering the highest quality dental implants in the industry.
Your comfort is our top priority, which is why we provide optional sedation dentistry to ensure a stress-free experience during your implant procedure.
Am I a candidate for dental implants?
While each individual case is unique, some general factors can help determine candidacy for dental implants. Here are a few considerations:
Am I a candidate for dental implants?
While each individual case is unique, some general factors can help determine candidacy for dental implants. Here are a few considerations:
Am I a candidate for dental implants?
While each individual case is unique, some general factors can help determine candidacy for dental implants. Here are a few considerations:
Healthy Jawbone
Sufficient bone density and volume in the jaw are essential. If you have experienced bone loss, bone grafting may be an option to enhance the foundation for implants.
Good Oral Health
Sufficient bone density and volume in the jaw are essential. If you have experienced bone loss, bone grafting may be an option to enhance the foundation for implants.
Commitment to Oral Care
Dental implants require diligent oral care, including regular brushing, flossing, and routine dental visits. Maintaining good oral hygiene is crucial to the long-term success of your dental implants.
Overall Health
Factors such as chronic diseases, smoking, and certain medications may impact your candidacy for dental implants. Our team will conduct a comprehensive evaluation, taking into account your overall health and medical history.
We recommend scheduling a consultation with us to determine your eligibility for dental implants. During this appointment, we’ll assess your unique situation, discuss your goals, and recommend the most suitable treatment options for you. Call (310) 274-0456 to take the first step towards a radiant smile!
Healthy Jawbone
Sufficient bone density and volume in the jaw are essential. If you have experienced bone loss, bone grafting may be an option to enhance the foundation for implants.
Good Oral Health
Sufficient bone density and volume in the jaw are essential. If you have experienced bone loss, bone grafting may be an option to enhance the foundation for implants.
Commitment to Oral Care
Dental implants require diligent oral care, including regular brushing, flossing, and routine dental visits. Maintaining good oral hygiene is crucial to the long-term success of your dental implants.
Overall Health
Factors such as chronic diseases, smoking, and certain medications may impact your candidacy for dental implants. Our team will conduct a comprehensive evaluation, taking into account your overall health and medical history.
We recommend scheduling a consultation with us to determine your eligibility for dental implants. During this appointment, we’ll assess your unique situation, discuss your goals, and recommend the most suitable treatment options for you. Call (310) 274-0456 to take the first step towards a radiant smile!
What to Expect?
Embark on the journey to dental implant success with us! Here’s what to expect from our implant dentistry process:
- Begin by understanding your goals and planning your treatment using 3D imaging to visualize your jawbone condition and ensure precise placement.
- Place your dental implant and give it time to integrate with your jawbone.
- Once your implant is healed, Dr. Elbaz will create and bond your custom restoration, ensuring a beautiful and functional smile.
Strong support is vital for successful dental implants; sufficient jawbone is key. If additional support is needed, we can perform a bone graft, expertly adding bone to the area. This strengthens the foundation, setting the stage for the final steps. Your smile’s transformation is within reach, and we’re here to make it a reality!
Unlock Your True Potential With Life Coaching Services

What to Expect?
Embark on the journey to dental implant success with us! Here’s what to expect from our implant dentistry process:
- Begin by understanding your goals and planning your treatment using 3D imaging to visualize your jawbone condition and ensure precise placement.
- Place your dental implant and give it time to integrate with your jawbone.
- Once your implant is healed, Dr. Elbaz will create and bond your custom restoration, ensuring a beautiful and functional smile.
Strong support is vital for successful dental implants; sufficient jawbone is key. If additional support is needed, we can perform a bone graft, expertly adding bone to the area. This strengthens the foundation, setting the stage for the final steps. Your smile’s transformation is within reach, and we’re here to make it a reality!
Unlock Your True Potential With Life Coaching Services

What to Expect?
Embark on the journey to dental implant success with us! Here’s what to expect from our implant dentistry process:
- Begin by understanding your goals and planning your treatment using 3D imaging to visualize your jawbone condition and ensure precise placement.
- Place your dental implant and give it time to integrate with your jawbone.
- Once your implant is healed, Dr. Elbaz will create and bond your custom restoration, ensuring a beautiful and functional smile.
Strong support is vital for successful dental implants; sufficient jawbone is key. If additional support is needed, we can perform a bone graft, expertly adding bone to the area. This strengthens the foundation, setting the stage for the final steps. Your smile’s transformation is within reach, and we’re here to make it a reality!

Unlock Your True Potential With Life Coaching Services

Advanced technology for precise diagnosis and treatment planning
At The Beverly Hills Center, we take pride in our cutting-edge Cone Beam CT (CBCT) system. This state-of-the-art technology revolutionizes our ability to diagnose and plan dental implant treatments.
With the CBCT, we capture detailed 3D images of your oral structures, providing a comprehensive view for accurate diagnosis and precise treatment planning. These scans allow us to assess jawbone density, plan implant placement, and detect any potential complications with unparalleled precision.
By incorporating the latest technology like the CBCT, we ensure safe and effective treatment tailored to your unique needs. Experience the power of advanced tech for flawless smiles by calling (310) 274-0456 today!
Unlock Your True Potential With Life Coaching Services

Advanced technology for precise diagnosis and treatment planning
At The Beverly Hills Center, we take pride in our cutting-edge Cone Beam CT (CBCT) system. This state-of-the-art technology revolutionizes our ability to diagnose and plan dental implant treatments.
With the CBCT, we capture detailed 3D images of your oral structures, providing a comprehensive view for accurate diagnosis and precise treatment planning. These scans allow us to assess jawbone density, plan implant placement, and detect any potential complications with unparalleled precision.
By incorporating the latest technology like the CBCT, we ensure safe and effective treatment tailored to your unique needs. Experience the power of advanced tech for flawless smiles by calling (310) 274-0456 today!
Advanced technology for precise diagnosis and treatment planning
At The Beverly Hills Center, we take pride in our cutting-edge Cone Beam CT (CBCT) system. This state-of-the-art technology revolutionizes our ability to diagnose and plan dental implant treatments.
With the CBCT, we capture detailed 3D images of your oral structures, providing a comprehensive view for accurate diagnosis and precise treatment planning. These scans allow us to assess jawbone density, plan implant placement, and detect any potential complications with unparalleled precision.
By incorporating the latest technology like the CBCT, we ensure safe and effective treatment tailored to your unique needs. Experience the power of advanced tech for flawless smiles by calling (310) 274-0456 today!

Discover your ideal implant solution
Discover your ideal implant solution
Dental Implants
Dental implants offer a permanent solution for those seeking to restore damaged, broken, or missing teeth. Whether you need to replace a single tooth or multiple teeth, our implant options will help restore your smile to its full potential.
All-On-Four/Hybrid Dentures
Experience the convenience and stability of All-on-4 technology, where as few as four strategically placed implants securely hold your denture in place. Forget about slipping or discomfort, and embrace a confident, worry-free smile.
Bone Grafting
For a healthy and stable implant foundation, consider a dental bone graft. This surgical technique rebuilds and restores the jaw bone and gums, enhancing your smile’s aesthetics and long-term health.
Implant-Supported-Dentures (Overdentures)
Enjoy the freedom and reliability of implant-supported dentures. Multiple implants are placed to securely anchor your denture, ensuring comfortable fit and natural-looking results.
Tooth Extraction
Preserve your oral health and address problematic teeth with our expert tooth extraction services. Whether it’s advanced gum disease or impacted wisdom teeth, our team ensures safe, comfortable extractions performed with your well-being in mind. Trust us to handle the process with utmost care and convenience.
Dental Implant Removal
Although rare, failed dental implants may require removal due to infection or trauma. Prompt removal is essential to prevent further complications and maintain your oral health. Rest assured that our dedicated team will prioritize your safety and well-being throughout the entire process.
Discover your ideal implant solution
Dental Implants
Dental implants offer a permanent solution for those seeking to restore damaged, broken, or missing teeth. Whether you need to replace a single tooth or multiple teeth, our implant options will help restore your smile to its full potential.
All-On-Four/Hybrid Dentures
Experience the convenience and stability of All-on-4 technology, where as few as four strategically placed implants securely hold your denture in place. Forget about slipping or discomfort, and embrace a confident, worry-free smile.
Bone Grafting
For a healthy and stable implant foundation, consider a dental bone graft. This surgical technique rebuilds and restores the jaw bone and gums, enhancing your smile’s aesthetics and long-term health.
Implant-Supported-Dentures (Overdentures)
Enjoy the freedom and reliability of implant-supported dentures. Multiple implants are placed to securely anchor your denture, ensuring comfortable fit and natural-looking results.
Tooth Extraction
Preserve your oral health and address problematic teeth with our expert tooth extraction services. Whether it’s advanced gum disease or impacted wisdom teeth, our team ensures safe, comfortable extractions performed with your well-being in mind. Trust us to handle the process with utmost care and convenience.
Dental Implant Removal
Although rare, failed dental implants may require removal due to infection or trauma. Prompt removal is essential to prevent further complications and maintain your oral health. Rest assured that our dedicated team will prioritize your safety and well-being throughout the entire process.

Comprehensive Care
Full range of services for all your dental and periodontal needs.

Experienced Team
Extremely skilled professionals delivering expert care.

Personalized Treatment
Solutions tailored to your unique oral health needs.

Innovative Solutions
Cutting-edge procedures designed to deliver optimal results and minimize recovery time.

Spa-Like Environment
A truly welcoming office designed with your comfort in mind.

Result-Focused Approach
Achieving lasting outcomes that enhance both the health and appearance of your smile.

Comprehensive Care
Full range of services for all your dental and periodontal needs.

Experienced Team
Extremely skilled professionals delivering expert care.

Personalized Treatment
Solutions tailored to your unique oral health needs.

Innovative Solutions
Cutting-edge procedures designed to deliver optimal results and minimize recovery time.

Spa-Like Environment
A truly welcoming office designed with your comfort in mind.

Result-Focused Approach
Achieving lasting outcomes that enhance both the health and appearance of your smile.
THE BEVERLY HILLS DENTAL CENTER
We want you to feel at home
Setting a new standard for care & results
Combining innovation, expertise, and personalized care, we’re committed to redefining dental excellence and delivering results that truly transform smiles.

Comprehensive Care
Full range of services for all your dental and periodontal needs.

Experienced Team
Extremely skilled professionals delivering expert care.

Personalized Treatment
Solutions tailored to your unique oral health needs.

Innovative Solutions
Cutting-edge procedures designed to deliver optimal results and minimize recovery time.

Spa-Like Environment
A truly welcoming office designed with your comfort in mind.

Result-Focused Approach
Achieving lasting outcomes that enhance both the health and appearance of your smile.
THE BEVERLY HILLS DENTAL CENTER
We want you to feel at home
We want you to feel at home
Combining innovation, expertise, and personalized care, we’re committed to redefining dental excellence and delivering results that truly transform smiles.
Patient Comfort
All of our operatories are equipped with brand-new dental massage chairs, offering an upper back massage for optimal relaxation during your treatment. For longer procedures, you can enjoy Netflix on our adjustable screens, designed for comfortable viewing with customizable tilt and height.
Advanced Equipment
In our examination and operatory rooms, we utilize the latest technology available to periodontists to ensure the best possible outcomes for our patients. Additionally, our electronic records system ensures that your information is secure and easily accessible during your treatments.
Spa Ambiance
Our newly remodeled office is designed to create a comfortable and welcoming experience. Enjoy aromatherapy, freshly baked cookies, coffee, tea, and options from our beverage bar. For added tranquility, we feature relaxing background music, while our friendly staff is dedicated to meeting your needs.
Patient Comfort
All of our operatories are equipped with brand-new dental massage chairs, offering an upper back massage for optimal relaxation during your treatment. For longer procedures, you can enjoy Netflix on our adjustable screens, designed for comfortable viewing with customizable tilt and height.
Advanced Equipment
In our examination and operatory rooms, we utilize the latest technology available to periodontists to ensure the best possible outcomes for our patients. Additionally, our electronic records system ensures that your information is secure and easily accessible during your treatments.
Spa Ambiance
Our newly remodeled office is designed to create a comfortable and welcoming experience. Enjoy aromatherapy, freshly baked cookies, coffee, tea, and options from our beverage bar. For added tranquility, we feature relaxing background music, while our friendly staff is dedicated to meeting your needs.

Dr. Jean-Jacques Elbaz,
DDS, MS
Dr. Jean-Jacques Elbaz, D.D.S., M.S., is a renowned Beverly Hills periodontist with over 30 years of experience. Born in Casablanca, Morocco, Dr. Elbaz earned his dental degree in Paris, France, before continuing his training in Los Angeles at UCLA. There, he trained under world-renowned specialists and later taught aspiring dental students. He holds dual Diplomate status in Periodontology and Oral Implantology.
Known for his expertise in tissue management and personalized care, Dr. Elbaz combines cutting-edge techniques with a focus on patient comfort, specializing in minimally invasive periodontics and dental implants.
patient comfort
All of our operatories are equipped with brand-new dental massage chairs, offering an upper back massage for optimal relaxation during your treatment. For longer procedures, you can enjoy Netflix on our adjustable screens, designed for comfortable viewing with customizable tilt and height.
Advanced Equipment
In our examination and operatory rooms, we utilize the latest technology available to periodontists to ensure the best possible outcomes for our patients. Additionally, our electronic records system ensures that your information is secure and easily accessible during your treatments.
Spa Ambiance
Our newly remodeled office is designed to create a comfortable and welcoming experience. Enjoy aromatherapy, freshly baked cookies, coffee, tea, and options from our beverage bar. For added tranquility, we feature relaxing background music, while our friendly staff is dedicated to meeting your needs.

Dr. Jean-Jacques Elbaz,
DDS, MS
Renowned Dental Services
Dr. Jean-Jacques Elbaz, D.D.S., M.S., is a renowned Beverly Hills periodontist with over 30 years of experience. Born in Casablanca, Morocco, Dr. Elbaz earned his dental degree in Paris, France, before continuing his training in Los Angeles at UCLA. There, he trained under world-renowned specialists and later taught aspiring dental students. He holds dual Diplomate status in Periodontology and Oral Implantology.
Known for his expertise in tissue management and personalized care, Dr. Elbaz combines cutting-edge techniques with a focus on patient comfort, specializing in minimally invasive periodontics and dental implants.

They solved something I couldn’t figure out for years! Thank you!
Dr Elbaz is very kind, courteous, patient, and has great bed side manners. He pointed out something I’ve been trying to figure out for years, and it was not as bad as I thought. His office is beautiful, and staff are top notch. I highly recommend! Thank you!!
Megs L.
Los Angeles

Thank you so much for a pleasant experience every time I visit!
Everyone in the office is extremely efficient and pleasant! I’m always very impressed with the doctors, the dental hygenist, and the staff. Thank you so much Dr. Elbaz and the team and see you for our next appointment!
Ira H.
Beverly Hills

Dr. Elbaz and Dr. Ryan are very professional and experienced!
I have seen Dr Elbaz for periodontics for somet ime and now I also, saw Dr Ryan, who recently joined his practice. Happy that she has joined Dr. Elbaz’s team, she was professional and experienced! Everyone here is very courteous and helpful always.
Elaine T.
Beverly Hills








